- Chuyên đề:
Toàn cảnh diễn tập xử lý 4 tình huống y tế khẩn cấp phục vụ Đại hội Đảng toàn quốc lần thứ XIV
12/01/2026 16:53
Nhằm đáp ứng y tế phục vụ Đại hội đại biểu toàn quốc lần thứ XIV của Đảng, Bộ Y tế...
Bắc Bộ ngày nắng 24 độ, đêm và sáng vẫn rét co ro
12/01/2026 17:01
Theo Trung tâm Dự báo Khí tượng Thủy văn Quốc gia, trong ngày 13/1, hầu hết các vùng trên cả...
Diễn tập cấp cứu, bảo đảm sẵn sàng công tác y tế phục vụ Đại hội XIV của Đảng
12/01/2026 16:26
Để bảo đảm sẵn sàng ứng phó với các tình huống bất thường xảy ra trong quá trình diễn ra...
12/08/2013 08:32
Thời gian qua, một số phương tiện thông tin đại chúng đưa tin báo nước ngoài khẳng định virus H7N9 lây từ người sang người. Đâu là cơ sở khoa học của nhận định này? Chúng tôi đã có...
11/08/2013 23:48
Ngày 10/8, Sở Y tế và Sở Công thương TP.HCM đã đồng loạt công bố kết quả kiểm tra và danh sách các cơ sở sản xuất bún tươi không an toàn, có hóa chất cấm trên địa bàn TP.HCM.
11/08/2013 15:13
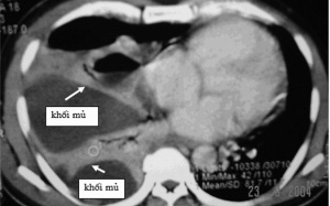
Viêm mủ màng phổi là một bệnh phức tạp, đa dạng và có thể gây nguy hiểm cho người bệnh. Viêm mủ màng phổi là hiện tượng viêm và ứ mủ trong khoang màng phổi. Nếu không phát hiện và...
11/08/2013 15:10
Đang nửa đêm, người mẹ giật mình tỉnh giấc, quay sang phía con chị hoảng hốt khi phát hiện bé đã tím tái, lạnh toát. Theo thông tin từ gia đình, trước khi tử vong cháu đã được chích...
10/08/2013 12:33
Theo thông tin từ Tập đoàn Fonterra, thì 3 lô đạm whey bị nhiễm khuẩn là do một đường ống của nhà máy sản xuất tại New Zealand chưa được khử trùng.
10/08/2013 11:13
Ngày 9/8, thông tin từ Chi cục Quản lý thị trường TP.HCM cho biết, đơn vị phối hợp cùng Công an phường Đông Hưng Thuận, quận 12 đã phát hiện và thu giữ một số lượng lớn sản phẩm...
10/08/2013 11:12
Một loạt thông tin về thực phẩm giả làm từ nhựa và cao su thời gian qua khiến người tiêu dùng không khỏi bàng hoàng vì mức độ tinh vi cũng như sự vô lương tâm của những kẻ đầu trò.
09/08/2013 17:47
Chiều 8/8, Phó Chủ tịch UBND TP Hà Nội Nguyễn Thị Bích Ngọc đã ký quyết định số 4736/QĐ-UBND về việc tạm đình chỉ công tác đối với ông Nguyễn Trí Liêm, Giám đốc Bệnh viện Đa khoa...
09/08/2013 17:43
Thi thể một trẻ sơ sinh vừa được nữ lao công phát hiện trong thùng rác đầu ngõ 73 đường Nguyễn Lương Bằng (phường Nam Đồng, Đống Đa, Hà Nội).
09/08/2013 17:38
Mặc dù thuốc lá điện tử không còn là mặt hàng quá xa lạ đối với nhiều người, song đến nay, tác dụng cai thuốc của nó vẫn chưa được bất cứ tổ chức y tế nào trên thế giới kiểm...








