- Chuyên đề:
Trẻ ăn chay, thuần chay có thực sự khỏe mạnh?
16/12/2025 10:02
Chế độ ăn dựa trên thực vật đã được chứng minh giúp giảm nguy cơ mắc bệnh tim và hỗ...
3 nguy cơ sức khỏe khi cho con sở hữu điện thoại quá sớm
14/12/2025 19:01
Nghiên cứu mới chỉ ra trẻ sở hữu điện thoại sớm có nhiều nguy cơ sức khỏe cao hơn so với...
Mẹo giúp trẻ thoải mái khi di chuyển đường dài
10/12/2025 15:05
Cuối năm là thời điểm nhu cầu đi lại tăng cao. Với các gia đình có con nhỏ, hành trình bằng ô...
13/09/2013 13:15
Guo Bin, cậu bé sáu tuổi ở tỉnh Sơn Tây tháng trước bị một phụ nữ khoét mắt, nay đang phục hồi tốt sau cuộc phẫu thuật mắt và thậm chí còn học thêm được một số câu tiếng Anh trong...
13/09/2013 13:13
Ngày 10/9, Thống đốc New Jersey (Mỹ) Chris Christie đã ký đạo luật cho phép kê đơn thuốc có chứa cần sa y tế để điều trị cho trẻ em bị bệnh Dravet tại bang này.
13/09/2013 08:42
Khi 2 mẹ con đang ngồi hóng nắng tại khu vực cửa ra vào khu chung cư thì bất ngờ tấm kính cường lực phía sau phát nổ lớn. Những hạt kính văng vào người làm cháu bé 7 tháng tuổi bị thương.
12/09/2013 15:40
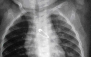
Ngày 12/9, bác sĩ Hoàng Lê Phúc - trưởng khoa tiêu hóa bệnh viện Nhi Đồng 1, TP.HCM - cho biết đã lấy ra được cây kim băng dài gần 2 cm trong bụng bé Bùi Nguyễn Khánh Trinh (6 tháng tuổi, ngụ Kiên...
12/09/2013 15:39
Những nghiên cứu mới nhất cho thấy giấc ngủ đóng vai trò quan trọng trong việc phát triển trí não của trẻ trong ba năm đầu đời.
12/09/2013 13:27
Co giật do sốt cao là một rối loạn co giật thường gặp nhất ở trẻ, lứa tuổi từ 6 tháng đến 5 tuổi, đặc biệt hay gặp ở trẻ từ 6 đến 36 tháng tuổi.
11/09/2013 09:54
Trẻ bị dị ứng thức ăn có biểu hiện khá đa dạng, có thể chỉ là nốt ban đỏ, mề đay nhưng nặng thì sốc phản vệ, thậm chí tử vong.
10/09/2013 13:34
Một số bệnh thông thường nếu lạm dụng thuốc sẽ gặp các tác dụng phụ không tốt cho sức khỏe về lâu dài. Vì vậy, hãy “thủ” cho mình và con một số bài thuốc chữa bệnh vừa ít...
09/09/2013 15:03
Là người thường xuyên khám chữa bệnh cho trẻ nhỏ, Bác sỹ Phạm Minh Hiếu – Bệnh viện E cho rằng, hóc dị vật đường thở là một tai nạn rất thường gặp nhưng khá nguy hiểm ở trẻ...
09/09/2013 14:08
Vitamin K cần cho sự tạo thành prothrombin trong gan có vai trò thiết yếu trong sự đông máu, và cũng điều hòa sự tổng hợp các yếu tố đông máu khác. Ngoài ra vitamin K còn giúp dự phòng và điều...
- Xem thêm từ khóa:
- báo sức khỏe
- Thực phẩm chức năng
- sống khỏe
- tin tức hàng ngày








