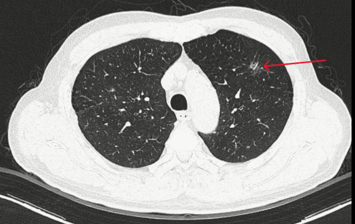
Thùy trên phổi trái có đám tổn thương kính mờ, bờ tua gai kích thước 10x13mm - Ảnh: BVCC.
Hợp tác Bạch Mai - Chợ Rẫy: Bước tiến mới trong số hóa y tế
Sụt cân bất thường, cô gái 23 tuổi phát hiện mắc khối u thận khổng lồ
Hơn 2.000 y, bác sĩ Bạch Mai tự nguyện khám chữa bệnh ngoài giờ tại viện
Vẫn sống khỏe sau 7 năm mắc ung thư phổi di căn não
Thông tin từ Bệnh viện Bạch Mai cho biết, mới đây, bệnh viện vừa tiếp nhận và điều trị cho một nam bệnh nhân 69 tuổi nhập viện vì đau thắt lưng phải. Bệnh nhân được chẩn đoán sỏi thận và đã được tán sỏi qua da tại khoa Phẫu thuật Tiết niệu.
Trong quá trình chụp CT kiểm tra, bác sĩ tình cờ phát hiện một tổn thương dạng kính mờ thùy trên phổi trái, nghi ngờ ác tính nên chuyển bệnh nhân sang Trung tâm Y học hạt nhân và Ung bướu để đánh giá tiếp.
Thời điểm nhập viện, bệnh nhân tỉnh táo, tiếp xúc tốt, thể trạng trung bình, không phát hiện bất thường đáng kể trên lâm sàng.
Người bệnh có tiền sử tăng huyết áp đang điều trị, tai biến mạch máu não năm 2022 không để lại di chứng và hút thuốc lá 20 bao/năm.
Các xét nghiệm máu, sinh hóa, đông máu đều trong giới hạn bình thường; marker Cyfra 21-1 tăng nhẹ. Kết quả chụp CT ngực cho thấy tổn thương kính mờ bờ tua gai thùy trên phổi trái, CT bụng ghi nhận giãn đài bể thận và sỏi niệu quản.
Tổn thương phổi được phân tích bằng hệ thống AI, kết quả cho thấy xác suất ác tính lên đến 97%. Hội đồng chuyên môn quyết định phẫu thuật nội soi cắt thùy phổi và nạo vét hạch.
Giải phẫu bệnh sau phẫu thuật xác định ung thư biểu mô tuyến thùy trên phổi trái giai đoạn pT1aN0M0, kèm theo tổn thương lao phổi. Các hạch nhóm 5, 6 và 10 đều là hạch viêm. Kết quả xét nghiệm gene không phát hiện đột biến EGFR hoặc ALK.
Bệnh nhân được xác định là mắc ung thư phổi giai đoạn IA (giai đoạn rất sớm) kèm lao phổi, tăng huyết áp và tiền sử tai biến mạch máu não. Phác đồ điều trị tiếp theo là theo dõi định kỳ và điều trị lao.
Tỷ lệ chữa khỏi ung thư phổi cao nếu phát hiện sớm

PGS.TS Đào Xuân Cơ - Giám đốc Bệnh viện Bạch Mai giới thiệu với Bộ trưởng Bộ y tế Đào Hồng Lan về Ứng dụng AI trong chẩn đoán Ung thư phổi tại Triển lãm “80 năm hành trình Độc lập - Tự do - Hạnh phúc”
Theo GLOBOCAN 2022, ung thư phổi đứng đầu thế giới về số ca mắc mới (2.480.301 ca, chiếm 12,4%) và tử vong (1.817.172 ca, chiếm 18,7%). Tại Việt Nam, ung thư phổi xếp thứ ba về tỷ lệ mắc (13,5%) và đứng thứ hai về tỷ lệ tử vong (18,8%).
Một trong những thách thức lớn nhất của ung thư phổi là phần lớn bệnh nhân được phát hiện ở giai đoạn muộn. Dù tỷ lệ sống sau 5 năm ở giai đoạn đầu có thể đạt 20-30% nếu được phẫu thuật triệt căn, khoảng 85% bệnh nhân lại được chẩn đoán khi bệnh đã tiến triển.
Sự phát triển của kỹ thuật sàng lọc bằng CT ngực liều thấp (LDCT) đã giúp phát hiện nhiều nốt phổi nhỏ. Tuy nhiên, các nốt ác tính thường có biểu hiện không điển hình trên phim, gây khó khăn trong phân biệt với tổn thương lành tính.
Vì vậy, AI ngày càng được ứng dụng nhằm phân tích đa tham số, hỗ trợ bác sĩ nhận diện sớm nguy cơ ung thư phổi, giảm sai sót và nâng cao hiệu quả chẩn đoán. Tại Trung tâm Y học hạt nhân và Ung bướu – Bệnh viện Bạch Mai, AI đã được triển khai trong thực hành lâm sàng, trong đó có trường hợp trên đây.
Theo Phó Giáo sư, Tiến sĩ Phạm Cẩm Phương, Giám đốc Trung tâm Y học hạt nhân và Ung bướu - Bệnh viện Bạch Mai, các dữ liệu tổng hợp cho thấy hệ thống AI có độ nhạy 0,87 và độ đặc hiệu 0,87 trong chẩn đoán ung thư phổi; tỷ lệ bỏ sót 13%, tỷ lệ chẩn đoán sai 12%.
"Với diện tích dưới đường cong ROC lên tới 0,93, AI đang cho thấy tiềm năng lớn trong hỗ trợ sàng lọc ung thư phổi giai đoạn sớm, giúp bác sĩ rút ngắn thời gian đánh giá và tăng độ chính xác", bác sĩ Phương thông tin.
Bên cạnh đó, theo chuyên gia ung bướu Bệnh viện Bạch Mai, với ung thư phổi không tế bào nhỏ giai đoạn IA, phẫu thuật vẫn là phương pháp điều trị chuẩn. Sau mổ, bệnh nhân cần được theo dõi định kỳ 6 tháng/lần trong hai năm đầu bằng khám lâm sàng, xét nghiệm và chụp CT có tiêm thuốc cản quang.
Tỉ lệ sống thêm 5 năm có thể đạt 70% nếu phát hiện ở giai đoạn sớm, trong khi ở giai đoạn IV tỉ lệ này giảm còn dưới 5%. Vì thế, việc sàng lọc và phát hiện sớm cho thấy ý nghĩa quyết định để kéo dài cuộc sống cho người bệnh không may mắc ung thư phổi.








Bình luận của bạn