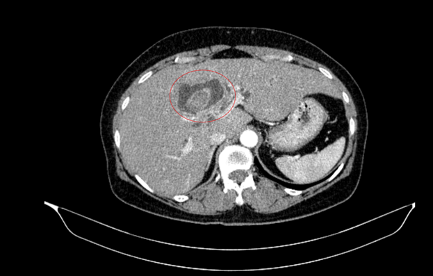
Hình ảnh sỏi đường mật tạo ổ áp xe gan - đường mật gan trái (vòng tròn màu đỏ) trên phim chụp cắt lớp vi tính - Ảnh: BVCC.
Đi bộ giúp giảm mệt mỏi ở người bệnh ung thư đại tràng?
Khi nào người trẻ cần đi tầm soát ung thư đại trực tràng?
Thực phẩm “quen mặt” có thể làm tăng nguy cơ ung thư đại tràng
Ngày càng nhiều người trẻ mắc ung thư đại tràng, làm sao để phòng ngừa?
Thông tin từ Trung tâm Ung bướu và Y học Hạt nhân, Bệnh viện Bạch Mai cho biết, Trung tâm vừa điều trị thành công một ca bệnh đặc biệt khi bệnh nhân mắc đồng thời hai ung thư nguyên phát gồm ung thư đại tràng phải và ung thư đường mật trong gan.
Theo đó, bệnh nhân nữ 59 tuổi nhập viện với biểu hiện vàng da, ngứa và đau vùng hạ sườn phải kéo dài. Kết quả chụp chiếu cho thấy tổn thương đường mật trong gan kèm sỏi và tình trạng giãn đường mật.
Tuy nhiên, trong quá trình thăm khám toàn diện, các bác sĩ tiếp tục phát hiện thêm một khối u tại đại tràng lên qua nội soi tiêu hóa. Kết quả sinh thiết xác định đây là ung thư biểu mô tuyến.
Sau hội chẩn đa chuyên khoa, các bác sĩ xác định bệnh nhân mắc đồng thời hai ung thư nguyên phát thay vì một ung thư đã di căn. Trong đó, ung thư đại tràng phải ở giai đoạn sớm IA, chưa di căn hạch, còn ung thư đường mật trong gan ở giai đoạn IIIB, đã có xâm lấn và di căn hạch. Việc phân biệt hai bệnh lí này có ý nghĩa quyết định trong lựa chọn hướng điều trị.
PGS.TS Phạm Cẩm Phương, Giám đốc Trung tâm Ung bướu và Y học Hạt nhân cho biết, những trường hợp xuất hiện đồng thời hai ung thư nguyên phát trong hệ tiêu hóa là rất hiếm, trường hợp này cho thấy vai trò quan trọng của thăm khám toàn diện và chẩn đoán chính xác trong việc xây dựng phác đồ điều trị tối ưu. “Chẩn đoán chính xác giúp chúng tôi xây dựng chiến lược điều trị phù hợp, tránh bỏ sót tổn thương hoặc điều trị không triệt để”, PGS Phương nhấn mạnh.
PGS.TS Phạm Cẩm Phương thăm khám cho bệnh nhân tại Trung tâm Y học hạt nhân và Ung bướu - Ảnh minh họa: BV Bạch Mai
Đáng chú ý, ung thư đường mật trong gan thường có tiên lượng xấu do phát hiện muộn. Tuy nhiên, theo PGS Phương, ở bệnh nhân này, bệnh được phát hiện tương đối sớm nhờ triệu chứng tắc mật, tạo điều kiện để can thiệp phẫu thuật triệt căn.
Dựa trên thể trạng người bệnh và đặc điểm tổn thương, ê-kíp đã quyết định thực hiện phẫu thuật triệt căn trong cùng một lần mổ. Ca phẫu thuật bao gồm cắt đoạn đại tràng phải kèm nạo vét hạch D3 và cắt gan trái cùng đường mật ngoài gan. Quá trình phẫu thuật diễn ra thuận lợi, toàn bộ tổn thương được loại bỏ.
Sau mổ, bệnh nhân hồi phục tốt, chức năng gan mật dần ổn định. Kết quả giải phẫu bệnh cho thấy khối u đại tràng đã được cắt bỏ triệt căn và chưa cần điều trị bổ trợ. Trong khi đó, ung thư đường mật có xâm lấn thần kinh và di căn hạch nên bệnh nhân tiếp tục được chỉ định hóa trị bổ trợ nhằm giảm nguy cơ tái phát.
Các chuyên gia khuyến cáo, người dân cần chủ động khám sức khỏe định kì, đặc biệt khi xuất hiện các dấu hiệu bất thường như đau bụng kéo dài, vàng da hay rối loạn tiêu hóa. Việc tầm soát ung thư, bao gồm nội soi tiêu hóa, đóng vai trò quan trọng trong phát hiện sớm bệnh lí.
Sau điều trị, bệnh nhân cần tuân thủ lịch tái khám định kì từ 3 đến 6 tháng với các phương pháp như siêu âm, chụp cắt lớp vi tính hoặc cộng hưởng từ, kết hợp xét nghiệm dấu ấn ung thư. Riêng với ung thư đại tràng, nội soi kiểm tra nên được thực hiện mỗi 1-2 năm để phát hiện sớm nguy cơ tái phát hoặc tổn thương mới.
Trường hợp bệnh nhân trên cho thấy hiệu quả của phối hợp đa chuyên khoa và cá thể hóa điều trị trong các ca ung thư phức tạp, đồng thời nhấn mạnh vai trò then chốt của việc chẩn đoán sớm và chính xác trong nâng cao cơ hội sống cho người bệnh.








Bình luận của bạn