- Chuyên đề:
Món quà ý nghĩa dành tặng học sinh Hà Nội
17/12/2025 14:39
Thông qua việc trao tặng mũ bảo hiểm và tổ chức các hoạt động hướng dẫn an toàn giao thông,...
Trẻ ăn chay, thuần chay có thực sự khỏe mạnh?
16/12/2025 10:02
Chế độ ăn dựa trên thực vật đã được chứng minh giúp giảm nguy cơ mắc bệnh tim và hỗ...
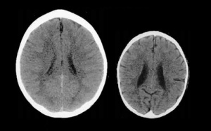
3 nguy cơ sức khỏe khi cho con sở hữu điện thoại quá sớm
14/12/2025 19:01
Nghiên cứu mới chỉ ra trẻ sở hữu điện thoại sớm có nhiều nguy cơ sức khỏe cao hơn so với...
04/11/2017 13:09
Chúng ta đều biết, bạo hành thể chất sẽ ảnh hưởng tiêu cực đến trẻ em, nhưng mới đây, các nhà khoa học Mỹ chỉ ra, bạo hành về mặt tinh thần cũng gây ra hệ quả tương tự, đặc...
- Bà bầu dùng paracetamol có thể tăng gấp đôi nguy cơ trẻ bị ADHD
- Rối loạn stress hậu sang chấn khiến lão hóa sớm
- Chuyên gia tâm lý chia sẻ cách giúp trẻ thoát khỏi sự "cám dỗ" của Ipad, smartphone
- Trẻ bị lạm dụng tình dục có thay đổi gì về thể chất, tinh thần?
- Phụ nữ trải qua từ 3 chấn thương tâm lý sẽ dễ bị bệnh tim
03/11/2017 15:43
Trẻ bị dị ứng thực phẩm có thể sưng mặt, lưỡi, phát ban, đầy bụng, tiêu chảy, thậm chí khó thở, nguy hiểm đến tính mạng. Nếu trẻ bị dị ứng thực phẩm, bạn nên làm gì?
03/11/2017 11:03
Chào bác sỹ! Con tôi 9 tháng tuổi, bé vẫn thức dậy 3 – 4 lần trong đêm. Làm thế nào để giúp bé ngủ xuyên đêm?
02/11/2017 13:52
Một nghiên cứu thực hiện trên 9.000 trẻ sơ sinh từ nhiều quốc gia với các nền văn hóa khác nhau cho thấy, cho con bú sữa mẹ ít nhất 2 tháng có thể làm giảm 50% nguy cơ tử vong ở trẻ sơ sinh.
02/11/2017 13:51
Da của trẻ sơ sinh thường mỏng và nhạy cảm, chính vì vậy, bé rất dễ mắc các bệnh ngoài da như: Nổi mụn, rôm sảy… Các mẹ biết một số bệnh ngoài da thường gặp và cách xử lý chúng...
02/11/2017 10:51
Nuôi nấng, chăm sóc một đứa trẻ sơ sinh không phải là điều đơn giản. Dù chuẩn bị kỹ thế nào khi mang thai, bạn vẫn sẽ cảm thấy lo lắng khi em bé chào đời.
01/11/2017 10:46
Em bé có thể cảm nhận được cảm xúc của cha mẹ và thể hiện những cảm xúc tương tự. Vậy làm thế nào để ngăn ngừa lây lan cảm xúc tiêu cực cho bé?
31/10/2017 15:42
Nghiên cứu mới của Na Uy cho thấy, những bà mẹ sử dụng thuốc giảm đau paracetamol trong thời kỳ mang thai sẽ có nguy cơ có con bị tăng động giảm chú ý (ADHD) cao hơn so với những người không...
30/10/2017 15:42
Nhiều người cho rằng bổ sung viên dầu cá omega-3 giúp trẻ mắt sáng và thông minh hơn. Điều này có thực sự đúng? Có nên cho trẻ nhỏ uống bổ sung dầu cá omega-3 không?
29/10/2017 15:58
Có rất nhiều nguyên nhân có thể khiến trẻ nhỏ bị táo bón và chế độ dinh dưỡng là một trong số đó. Một số loại thực phẩm tưởng chừng vô hại nhưng lại chính là “thủ phạm”...
- Xem thêm từ khóa:
- báo sức khỏe
- Thực phẩm chức năng
- sống khỏe
- tin tức hàng ngày









