Hà Nội và Bắc Bộ sáng sương mù, trưa hửng nắng
26/03/2026 16:57
Theo Trung tâm Dự báo Khí tượng Thủy văn Quốc gia, trong ngày 27/3, thời tiết Bắc Bộ và Bắc...
Reuters ứng dụng AI để nâng cao năng lực báo chí ra sao?
26/03/2026 15:56
Trong kỷ nguyên mà thuật toán có thể soạn thảo tin tức trong tích tắc, câu hỏi đặt ra không...
"Tắt đèn Bật ý tưởng 2026": Thúc đẩy giao thông xanh
26/03/2026 12:02
Dự án “Tắt đèn Bật ý tưởng 2026” khởi động với thông điệp “Lên đường không lên...
01/02/2023 11:19
Thông tư 18/2022 của Bộ Y tế sẽ có hiệu lực thi hành từ 15/2 tới, với nhiều quy định mới đáng chú ý về chính sách bảo hiểm xã hội (BHXH), chế độ hưởng BHXH một lần và giám định...
01/02/2023 11:06
Tổ chức Y tế thế giới (WHO) tiếp tục duy trì mức cảnh báo cao nhất về đại dịch COVID-19, đánh giá dịch bệnh này có thể đang trong "thời điểm chuyển tiếp", cần được theo dõi cẩn...
31/01/2023 17:23
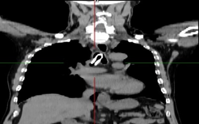
Chỉ trong một tuần trở lại đây, Bệnh viện Việt Đức tiếp nhận tới 10 ca động mạch chủ, trong đó có 3 ca lóc động mạch chủ type A cấp tính – một trong những nguyên nhân chính gây ra...
- Bệnh viện Việt Đức thay toàn bộ khớp háng cho người bệnh quốc tịch Pháp
- BV Hữu nghị Việt Đức: Phẫu thuật thành công cắt khối tá tụy bằng phương pháp mổ nội soi
- BV Hữu nghị Việt Đức: Mang lại niềm vui, sự tin yêu cho người bệnh cao tuổi mắc COVID-19
- Bệnh viện Việt Đức tư vấn trực tuyến chủ đề cong dương vật
31/01/2023 17:11
Theo Trung tâm Dự báo Khí tượng Thủy văn Quốc gia, trong ngày 1/2, Bắc Bộ tiếp tục rét, về trưa có nắng ấm. Còn tại Nam Bộ sáng sớm trời se lạnh, nhiệt độ thấp nhất dưới 19 độ.
31/01/2023 16:15
Nhiều người trẻ nhồi máu não, hôn mê, suy thận cấp sau khi uống nhiều rượu; Cách cải thiện tình trạng bong gân, trật khớp; Sốc phản vệ độ 3 do ăn tôm... là những nội dung Tiểu điểm...
31/01/2023 10:40
Theo tín ngưỡng dân gian, vào Ngày vía Thần Tài mồng 10 tháng Giêng hàng năm, nhiều người lại tìm mua vàng và chuẩn bị mâm lễ vật đầy đủ về cúng Thần Tài để lấy lộc cả năm. Nhiều...
30/01/2023 16:50
Theo Trung tâm Dự báo Khí tượng Thủy văn Quốc gia, trong ngày 31/1, thời tiết Bắc Bộ trưa hửng nắng nhẹ, nhiệt độ giữa ngày và đêm chênh lệch cao. Trong khi đó, Nam Bộ trời tạnh ráo,...
30/01/2023 15:44
Cục Quản lý Khám, chữa bệnh đề nghị làm rõ phản ánh ‘người nhà tố bệnh viện tắc trách'; WHO tuyên bố giai đoạn khẩn cấp của dịch COVID-19 vẫn chưa kết thúc; Sốc phản vệ nặng...
30/01/2023 10:41
Thủ tướng yêu cầu các bộ, cơ quan, địa phương, tổ chức, đơn vị ngay sau kỳ nghỉ Tết Nguyên đán Quý Mão 2023 phải khẩn trương, tập trung vào công việc, không để chậm trễ ảnh...
29/01/2023 20:50
Ủy ban khẩn cấp về COVID-19 của Tổ chức Y tế Thế giới (WHO) vừa nhóm họp để thảo luận về việc liệu tình hình dịch COVID-19 hiện nay còn tương ứng với mức báo động toàn cầu cao...








