- Chuyên đề:
Bạn có thể bị tái phát sỏi mật sau khi đã mổ sỏi mật?
28/04/2026 16:50
Trên thực tế, ngay cả sau khi đã mổ sỏi mật, bạn vẫn có thể bị tái phát sỏi trong ống dẫn...
Làm thế nào để giữ cho đại tràng luôn khỏe mạnh?
26/04/2026 14:26
Đại tràng đóng vai trò quan trọng trong quá trình tiêu hóa và hấp thu. Theo các chuyên gia từ Trung...
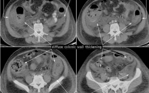
5 dấu hiệu ung thư đại tràng phổ biến dễ bị bỏ qua
26/04/2026 12:02
Theo các chuyên gia y tế, nhiều triệu chứng ung thư đại tràng ở giai đoạn đầu thường rất...
01/10/2014 13:58
Napoleon từng mắc bệnh trĩ và có thể đó là một nguyên nhân quan trọng khiến ông thua trận Waterloo! Rất nhiều người cảm thấy cực kỳ khó chịu và đau khổ khi mắc phải bệnh trĩ.
01/10/2014 13:53
Gan nhiễm mỡ không chỉ gặp ở người béo, nhiều người gầy đã cảm thấy ngỡ ngàng khi kết quả siêu âm, xét nghiệm kết luận bị gan nhiễm mỡ. Bệnh này chưa có thuốc đặc trị và nguy...
01/10/2014 10:50
Trong cuộc sống hàng ngày, có rất nhiều thói quen gây ảnh hưởng nghiêm trọng chức năng gan mà bạn cần biết để né tránh.
01/10/2014 10:46
Ở giai đoạn đầu, người bệnh thường không có triệu chứng, chỉ được chẩn đoán dựa trên các xét nghiệm máu hoặc chẩn đoán hình ảnh khác. Nhiều bệnh nhân xơ gan có thể bị mệt...
01/10/2014 10:31
(Health+) Viêm loét dạ dày là một trong những bệnh về tiêu hóa thường gặp, nguồn bệnh do vi khuẩn Helicobacter Pylori (HP).
01/10/2014 10:25
Tại nước ta, ung thư đại – trực tràng là một trong những loại ung thư rất thường gặp và là nguyên nhân trực tiếp liên quan đến tử vong do ung thư. Vì vậy, phòng ngừa ung thư là phương...
01/10/2014 09:56
Người bị đau dạ dày cần đặc biệt cẩn trọng trong ăn uống và vận động. Vì vậy, nếu bạn không may bị đau dạ dày, hãy tuân thủ những điều dưới đây.
01/10/2014 09:35
Chưa có bằng chứng về việc cho con bú sẽ lây truyền bệnh viêm gan C.
01/10/2014 09:10
Hiện tỷ lệ viêm gan tại Việt Nam ở mức cao, kéo theo đó là số người cần được ghép gan tăng theo. Đúng mười năm sau ca ghép gan đầu tiên thành công, các bác sĩ Việt Nam đã ghi danh mình trên...
01/10/2014 08:49
Thống kê được thực hiện ở TP.HCM với 100 bệnh nhân nam nữ thuộc giới doanh nhân trong độ tuổi 40 - 50, cho thấy: 30% đang có sỏi trong túi mật.
- Xem thêm từ khóa:
- bệnh thủy đậu
- bệnh tay chân chân miệng












