27/02/2017 14:25
Nếu bạn thường xuyên làm việc trên máy tính mỗi ngày bạn có thể gặp các triệu chứng của hội chứng rối loạn thị giác màn hình do dùng máy tính. Các triệu chứng của hội chứng này...
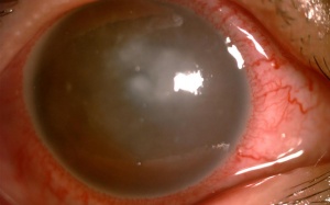
26/02/2017 15:16
Cô gái 20 tuổi ở Đắk Lắk bị loét giác mạc trầm trọng do một loại ký sinh trùng amip ăn mòn giác mạc sau khi bị bụi vào mắt trong quá trình đeo kính áp tròng.
20/02/2017 15:59
Khô mắt có thể khiến mắt bị đỏ, ngứa rát… vô cùng khó chịu. Những người hay bị khô mắt như người già, người sử dụng máy tính thường xuyên… nên chú ý bổ sung một số chất...
05/02/2017 15:59
Chúng ta thường chỉ sử dụng khẩu trang để bảo vệ mình khỏi không khí ô nhiễm và thường bỏ quên đôi mắt. Dưới đây là những ảnh hưởng của ô nhiễm gây ra cho đôi mắt của bạn.
03/02/2017 15:49
Khô mắt là một tình trạng thường gặp ở nhiều phụ nữ mang thai. Vì sao phụ nữ mang thai dễ bị khô mắt và điều trị khô mắt cho phụ nữ mang thai như thế nào?
13/01/2017 15:03
Khi bạn già đi, các cơ quan trên cơ thể cũng sẽ bắt đầu bị ảnh hưởng, trong đó có đôi mắt. Dưới đây là một số vấn đề về mắt thường gặp nhất khi bạn đã có tuổi.
07/01/2017 08:56
Sử dụng các thiết bị điện tử quá thường xuyên có thể gây ra các vấn đề về mắt. Nhẹ có thể là mờ mắt, nặng có thể khiến mắt trở nên đau, ngứa rát dẫn đến cận thị nặng và...
01/01/2017 08:43
Chào bác sỹ! Cháu năm nay 25 tuổi, vừa mới làm phẫu thuật mắt chữa cận thị bằng lasik. Cháu cần phải kiêng gì để mắt nhanh hồi phục? Cháu cảm ơn bác sỹ! (Thanh Huyền - Hà Nội)
27/12/2016 14:44
Nước mắt rất cần thiết cho quá trình bôi trơn của mắt. Tuy nhiên nếu nước mắt chảy quá nhiều thì coi chừng bạn đang mắc một số bệnh sau.
26/12/2016 11:49
Nếu một ngày bạn nhận thấy đôi mắt của mình xuất hiện những dấu hiệu lạ sau đây thì cần phải cảnh giác vì chúng có thể báo hiệu một số bệnh tật trong cơ thể.






