Chất lượng chế độ ăn quyết định nguy cơ mắc Alzheimer
25/04/2026 13:24
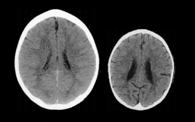
Một nghiên cứu quy mô lớn kéo dài hơn một thập kỷ cho thấy, không phải mọi chế độ ăn...
Thời tiết cả nước dịp nghỉ lễ Giỗ Tổ Hùng Vương và 30/4-1/5 thế nào?
24/04/2026 17:03
TỌA ĐÀM trực tuyến: Du lịch an toàn mùa cao điểm
24/04/2026 13:00
Để có chuyến du lịch an toàn và trọn vẹn, việc chủ động phòng ngừa và trang bị kỹ năng...
04/11/2017 13:09
Chúng ta đều biết, bạo hành thể chất sẽ ảnh hưởng tiêu cực đến trẻ em, nhưng mới đây, các nhà khoa học Mỹ chỉ ra, bạo hành về mặt tinh thần cũng gây ra hệ quả tương tự, đặc...
- Bà bầu dùng paracetamol có thể tăng gấp đôi nguy cơ trẻ bị ADHD
- Rối loạn stress hậu sang chấn khiến lão hóa sớm
- Chuyên gia tâm lý chia sẻ cách giúp trẻ thoát khỏi sự "cám dỗ" của Ipad, smartphone
- Trẻ bị lạm dụng tình dục có thay đổi gì về thể chất, tinh thần?
- Phụ nữ trải qua từ 3 chấn thương tâm lý sẽ dễ bị bệnh tim
04/11/2017 05:17
Theo thông tin từ Trung tâm Dự báo Khí tượng Thủy văn Trung ương, hồi 13 giờ ngày 03/11, vị trí tâm bão cách bờ biển Phú Yên - Khánh Hòa - Ninh Thuận khoảng 350km về phía Đông. Sức gió mạnh...
03/11/2017 16:33
Các nhà khoa học Mỹ đã nghiên cứu một loại xét nghiệm máu mới có thể giúp chẩn đoán nguy cơ sảy thai, hoặc sinh non ở ngay từ tuần thứ 12 của thai kỳ.
02/11/2017 17:10
Theo thông tin từ Trung tâm Dự báo Khí tượng Thủy văn Trung ương, hồi 13 giờ ngày 2/11, vị trí tâm bão số 12 cách bờ biển Khánh Hòa - Ninh Thuận khoảng 800km về phía Đông. Sức gió mạnh nhất...
02/11/2017 16:31
Nhân sâm Hàn Quốc là thương hiệu dược liệu đã được ghi nhận từ lâu đời trong y học phương Đông cũng như trên toàn thế giới. Hiện Việt Nam là thị trường nhập khẩu nhân sâm đứng...
02/11/2017 16:03
Với tinh thần “lá lành đùm lá rách”, vào ngày 27/10 vừa qua, Công ty cổ phần Sữa Việt Nam (Vinamilk) đã trao tặng 400 triệu đồng cho các hộ nghèo bị ảnh hưởng do bão lũ, trong đó có 300...
02/11/2017 10:58
Thật ám ảnh khi nhà đầy kiến, kiến bò khắp mọi nơi. Dưới đây là một số mẹo đơn giản giúp bạn đuổi kiến ra khỏi ngôi nhà của mình một cách nhanh chóng.
01/11/2017 17:47
Chiều ngày 1/11, Bệnh viện Phụ sản Hà Nội đã có buổi thông tin với các cơ quan báo chí về vụ việc bảo vệ bệnh viện này bị tố cáo là đã hành hung người nhà bệnh nhân vào đêm 31/10.
01/11/2017 17:17
Theo thông tin từ Trung tâm Dự báo Khí tượng Thủy văn Trung ương, chiều nay (1/11) áp thấp nhiệt đới trên khu vực miền Trung Philippines đã đi vào Biển Đông. Như vậy, hiện tại trên Biển...
31/10/2017 16:44
Theo thông tin từ Trung tâm Dự báo Khí tượng Thủy văn Trung ương, do ảnh hưởng của áp thấp nhiệt đới nên từ đêm nay (31/10) đến hết ngày 2/11, ở Nam Bộ có mưa vừa, mưa to, có nơi mưa rất...








