Dinh dưỡng chủ động: Khi bữa ăn không còn là chuyện “ăn cho đủ”
31/01/2026 20:04
Tết nay đã khác, cần thay đổi tư duy về dinh dưỡng ngày Tết
29/01/2026 17:32
Để bảo vệ sức khỏe trong dịp Tết, theo PGS.TS.BS Nguyễn Trọng Hưng - Giám đốc Trung tâm tư...
Bạn đã sử dụng thực phẩm chức năng đúng liều lượng chưa?
16/01/2026 13:30
07/07/2019 11:45
Cơn đau nửa đầu có thể kéo dài hàng giờ cho tới vài ngày. Không chỉ có cảm giác đau nhói, buốt ở nửa bên đầu, người bệnh còn có nhiều triệu chứng khó chịu toàn cơ thể.
07/07/2019 11:21
Có nhiều biện pháp điều trị, hỗ trợ điều trị bệnh đái tháo đường, bao gồm thay đổi lối sống lành mạnh, dùng thuốc Tây y hay các biện pháp tự nhiên khác… Một trong những biện...
06/07/2019 11:46
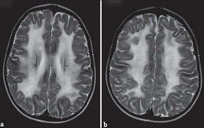
Thoái hóa chất trắng ở não thường xảy ra ở người cao tuổi, tuy nhiên, tình trạng này có thể xảy ra sớm ở người nghiện thuốc lá.
06/07/2019 11:45
Thiên ma (Black cohosh) là loại thảo dược nổi tiếng thường được khuyên dùng để hỗ trợ điều trị các triệu chứng mãn kinh như bốc hỏa, đổ mồ hôi đêm... Loại thảo dược này có...
06/07/2019 11:15
Các nhà khoa học Mỹ vừa phát hiện ra rằng, người mắc bệnh nhiễm trùng đường tiết niệu và một số bệnh nhiễm trùng khác mặc dù không hề liên quan đến tuần hoàn máu lại có thể có...
06/07/2019 10:30
Nếu không được điều trị, nhiễm trùng đường tiết niệu (UTI) có thể gây ra các biến chứng nghiêm trọng như nhiễm trùng tái phát, hẹp niệu đạo và tổn thương thận. Để giảm nguy...
05/07/2019 16:42
Người bị tiền đái tháo đường, người có nguy cao mắc bệnh đái tháo đường type 2 thường được khuyên nên lựa chọn những thực phẩm có chỉ số chuyển hóa đường huyết thấp. Vì...
05/07/2019 16:40
Lúc nào cũng thấy buồn ngủ gây ảnh hưởng lớn đến sức khỏe, thậm chí cả tính mạng nếu bạn đang lái xe. Tại sao dù ngủ nhiều mà bạn vẫn luôn thấy buồn ngủ?
05/07/2019 16:33
Người bệnh ung thư thực hiện hóa trị thường gặp nhiều tác dụng phụ khó chịu như giảm cảm giác thèm ăn, buồn nôn/nôn mửa, khô miệng… rất khó chịu. Để khắc phục những tình...
05/07/2019 16:18
Ợ nóng là triệu chứng điển hình nhất của bệnh lý trào ngược dạ dày thực quản, gây nóng rát, khó chịu từ dạ dày kéo dài lên ngực và cổ. Để điều trị dứt điểm chứng ợ nóng,...
- Xem thêm từ khóa:
- bệnh thủy đậu
- bệnh tay chân chân miệng









