Dinh dưỡng chủ động: Khi bữa ăn không còn là chuyện “ăn cho đủ”
31/01/2026 20:04
Tết nay đã khác, cần thay đổi tư duy về dinh dưỡng ngày Tết
29/01/2026 17:32
Để bảo vệ sức khỏe trong dịp Tết, theo PGS.TS.BS Nguyễn Trọng Hưng - Giám đốc Trung tâm tư...
Bạn đã sử dụng thực phẩm chức năng đúng liều lượng chưa?
16/01/2026 13:30
03/01/2021 11:10
Phụ nữ được tạo hóa ban cho thiên chức làm mẹ, tuy nhiên, điều đó đồng nghĩa với việc họ phải đối mặt với nhiều vấn đề sức khỏe nguy hiểm, điển hình nhất là trầm cảm sau...
02/01/2021 10:46
Gần đây tôi có biểu hiện tim đập lúc nhanh lúc chậm, có khi lên tới 110 nhịp, hay mệt mỏi, hồi hộp nhiều vào ban ngày. Còn ban đêm thì hay ngủ mơ linh tinh. Xin hỏi chuyên gia, tôi bị bệnh gì...
31/12/2020 11:28
Mất ngủ kéo dài do suy nhược thần kinh khiến bạn mệt mỏi, chán nản, suy kiệt sức khỏe, ảnh hưởng nghiêm trọng đến chất lượng cuộc sống. Vậy, có cách nào đối phó với tình...
31/12/2020 10:45
Hiện nay, chi phí mổ sỏi gan thường dao động từ 15 - 20 triệu. Chi phí này phụ thuộc vào nhiều yếu tố như phương pháp điều trị, thể trạng người bệnh...
31/12/2020 10:42
Tôi năm nay 43 tuổi. Cách đây 3 năm, tôi bị ù tai, lúc nào cũng nghe thấy tiếng o o trong tai. Tôi đã đi khám và sử dụng thuốc của bác sĩ. Khi dùng thuốc, tôi thấy triệu chứng giảm nhưng hết...
30/12/2020 16:02
Tôi bị nhịp nhanh kịch phát kèm hội chứng Brugada (chứng rối loạn nhịp tim gây ngừng tim đột ngột) đã đặt máy tạo nhịp được 3 tháng. Hiện tại thỉnh thoảng tôi vẫn bị nhịp tim...
30/12/2020 15:51
Chào chuyên gia, cách đây 2 tuần, tôi đi kiểm tra sức khỏe tổng quát thì phát hiện bị u tuyến giáp. Xin chuyên gia cho biết, u tuyến giáp có phải là bệnh thường gặp không? Nguyên nhân nào...
30/12/2020 13:28
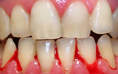
Chảy máu chân răng là một trong những bệnh lý răng miệng thường gặp. Mặc dù không phải bệnh nguy hiểm đến tính mạng nhưng nếu không được xử lý kịp thời sẽ ảnh hưởng rất lớn...
30/12/2020 10:44
Mùa Đông là thời điểm bệnh vảy nến hay tái phát nhất trong năm. Vậy phải làm gì để ngăn ngừa bệnh tái phát và không nặng thêm?
30/12/2020 10:39
Suy thận độ 2 thuộc vào giai đoạn sớm của bệnh suy thận mạn nên rất khó để phát hiện vì dấu hiệu cảnh báo thường không rõ ràng. Nếu không kiểm soát tốt suy thận độ 2, bệnh sẽ...
- Xem thêm từ khóa:
- bệnh thủy đậu
- bệnh tay chân chân miệng








